インビザライン症例
あけましておめでとうございます。
本年もまるやま歯科医院をよろしくお願いいたします。
久しぶりの矯正の症例になります。
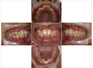
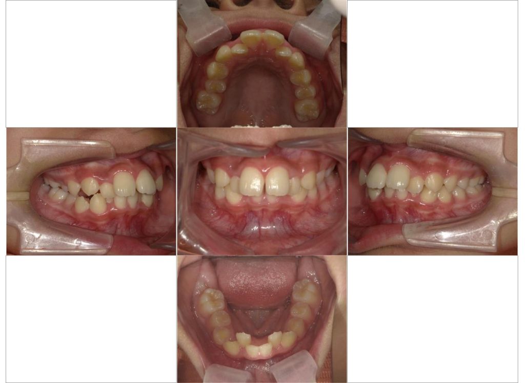
患者さんは10代の女性、前歯が出ていることが主訴になります。
お口の中の状態としては、上下の前歯の重なりが強く上の前歯が前方に、下の前歯が後方に傾いている状態でした。
矯正開始当時はコロナ禍の収束によりマスクを外す機会が増えてきたことから気になってきたとのことです。

マスクの装着により息苦しさからお口で呼吸をする方が多くいらっしゃいます。
口呼吸によりお口周りの筋肉が衰えやすく、歯並びを始めとしてお口の中の乾燥、虫歯や歯ぐきの腫れ等様々な問題が出てくる傾向になります。
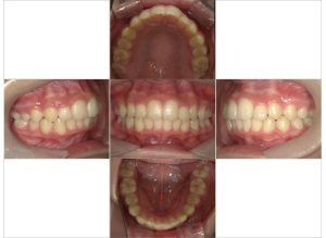
今回は上下の歯列の拡大とそれによって生じたスペースを利用して重なりのある前歯の重なりを取り除いています。

矯正にかかった期間は2年間、歯の移動の中で上下の12歳臼歯の萌出も起こったのでコントロールを行いながらの治療となります。
治療後の歯並びを維持するためにもリテーナーの使用と併せてお口周りの筋肉の維持も重要になってきます。
まるやま歯科医院では矯正治療以外の患者さんについてもお口周りの筋肉量や機能の測定、そのサポートを行っていますあ。
気になる方はぜひお声がけください。
※症例紹介はすべて患者さんの承諾をいただいて掲載させていただいています。
治療装置 インビザライン(マウスピース型カスタムメイド矯正装置)
治療期間 2年0カ月
費用 880,000円(税込)
代表的なリスク 痛み・治療後の後戻り・歯根吸収・歯髄壊死・歯肉退縮
※マウスピース型カスタムメイド矯正歯科装置は完成物薬機法対象外の矯正装置であり、医薬品副作用被害救済制度の対象とはならない可能性があります。
※自由診療の料金は治療当時の費用になります。



