まるやま歯科医院

ご予約・お問合せ 0254-28-9242ご予約・お問合せ 0254-28-9242


お知らせ

2025.5.4 / 治療について

施設基準届出項目

当医院は、以下の施設基準等に適合している旨、厚生労働省地方厚生支局に届出を行っています。 ・ 歯科初診料の注1に規定する基準 歯科外来診療に・・・

もっと読む

2026.1.29 / 日常

トゥース・フェアリー歯の妖精🧚

先日子供が好きなアメリカのアニメを鑑賞している際 トゥース・フェアリー(Tooth Fairy)歯の妖精 なるものに出会いました🧚 アメリカ・・・

もっと読む

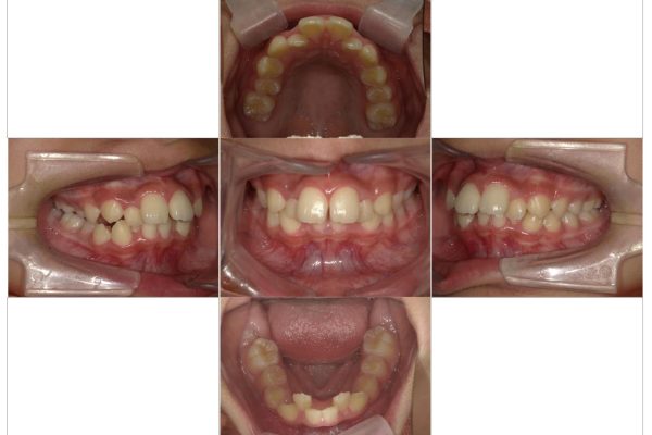
2026.1.26 / 施術例

インビザライン症例

あけましておめでとうございます。 本年もまるやま歯科医院をよろしくお願いいたします。   久しぶりの矯正の症例になります。 患者さ・・・

もっと読む

2026.1.24 / 医院情報

2月の休診日のお知らせ

      いつもご利用いただきありがとうございます☺️    2月の休診日のお知らせです🍫   11日 建国・・・

もっと読む

2025.12.21 / 日常

iTOP 「Touch to Teach」セミナー受講してきました🪥

12月にiTOP「Touch to Teach」のブラッシング指導セミナーに歯科のスタッフと共に参加してまいりました☺️ アイトップ(iTO・・・

もっと読む

2025.12.15 / 医院情報

❄️1月休診日のお知らせ❄️

いつもご利用いただきありがとうございます☺️    1月の休診日のお知らせです☃️ 1月は1日〜4日 休診 12日 成人の日の為休診となりま・・・

もっと読む

2025.12.7 / 日常

雪が降って急に寒くなりましたね❄️ 先日キャンプ🏕に行ってきました! この日は天気が良く、星がとても綺麗でした⭐️ 寒かったですが楽しい1日・・・

もっと読む

2025.11.22 / 医院情報

🎅🏻12月の休診日のお知らせ🎄

    いつもご利用いただきありがとうございます☺️    12月の休診日のお知らせです📢 12月23日 3歳児健診によ・・・

もっと読む

2025.11.21 / イベント

クリスマス仕様にしてみました🎄

最近は急に寒くなりましたね❄️ 雪が降る日も近いかもしれません💦 まるやま歯科医院の院内もクリスマス仕様にしてみました🎄🎅 ぜひ来院された際・・・

もっと読む

2025.10.29 / 日常

🎃まちなかハロウィンパーク🎃

今年も新発田まちなかハロウィンパーク内の 歯科イベント「新発田市健口フェア」に参加して参りました🎃 お口の健診や 咀嚼力判定カミカミテスト ・・・

もっと読む

2025.10.18 / 医院情報

11月休診日のお知らせ🍁

  いつもご利用いただきありがとうございます🍁     ~11月の休診のお知らせ~   3日(月)文化の日  24日(月・・・

もっと読む