まるやま歯科医院

ご予約・お問合せ 0254-28-9242ご予約・お問合せ 0254-28-9242


お知らせ

2025.3.30 / 施術例

インプラント症例

少し前までの寒さが嘘のように暖かくなってきましたね。 もう少しで桜の季節になるのでしょうか。 家族で城址公園でお花見をするのを楽しみにしてい・・・

もっと読む

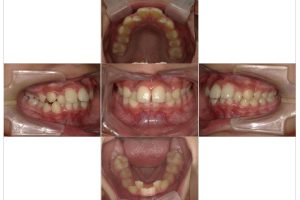
2024.12.19 / 施術例

小児矯正

こんにちは。 日に日に寒くなって、新発田でも雪が降り続けていますね。 そろそろ雪かきも必要になるのでしょうか…   さて、今回は1・・・

もっと読む

2024.9.29 / 施術例

入れ歯とブリッジを使った補綴治療

だんだんと涼しくなり、もうすっかり秋になりましたね。 当院ではハロウィンの飾りつけも行って、少しでも皆さんが楽しく通院できるといいなと考えな・・・

もっと読む

2024.1.14 / 施術例

インビザライン症例

こんにちは!年明けから急に雪が多く降り出しましたが、皆様ご無事に過ごされているでしょうか。 当院は駐車場の除雪も業者さんにお願いし(いつもあ・・・

もっと読む

2023.7.29 / 施術例

ホワイトスポットを削らず目立たなく

ホワイトスポットという言葉はご存知でしょうか。 生まれつき、歯作られる期間に受けた刺激、初期のむし歯などが原因で歯の表面構造であるエナメル質・・・

もっと読む

2023.4.6 / 施術例

前歯の被せ物のやり直し

こんにちは。 4月に入り、新生活が始まった方も多いのではないでしょうか。 今年はマスクを外す機会も増えて、お口の中のお掃除やホワイトニングな・・・

もっと読む

2023.1.6 / 施術例

インビザラインでの受け口の治療

今回はインビザラインでの受け口の治療をご紹介します。 20代男性の患者さんで、主訴は受け口(下の歯が上の歯よりも前に来ている状態)の改善にな・・・

もっと読む

2022.9.20 / 施術例

Ⅰ期矯正(はえかわり途中のお子様の矯正)

こんにちは!めっきり寒くなりましたね。 最近は矯正の症例をご覧いただいていますが、今日は生え変わりの途中で行う矯正(I期矯正)についてご説明・・・

もっと読む

2022.7.31 / 施術例

インビザライン症例②

インビザラインの症例のご紹介になります。 10代前半の患者さんで、歯のでこぼこと八重歯、前歯が出ていることを気にされてのご来院です。 上下顎・・・

もっと読む

2022.4.22 / 施術例

インビザライン 症例

最近は皆さま新生活にも慣れてきたのか、インビザライン矯正のご相談を多くいただいています。 実際の症例ということで、ちょうどスタッフの矯正が先・・・

もっと読む